
We provide a variety of orthodontic treatments designed to support healthy smiles, proper function, and overall well-being. Our approach focuses on whole-body health, growth, and development—helping patients of all ages achieve lasting results.

Airway-focused orthodontics addresses breathing, jaw development, and facial growth alongside tooth alignment. This approach supports proper function, improved sleep, and overall health by considering how the airway impacts the entire body.
Learn More
Invisalign® clear aligners provide a discreet, removable option for straightening teeth. Designed for comfort and convenience, they fit seamlessly into your daily routine while improving alignment and smile aesthetics.
Learn More
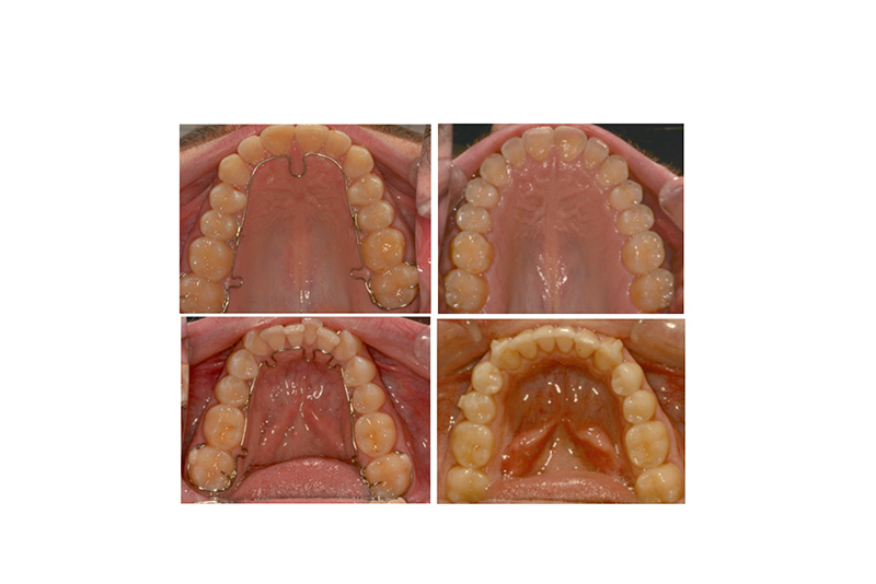
Light wire orthopedic orthodontics uses gentle forces to guide natural growth and development of the dental arches and facial structure. Techniques such as ALF (Advanced Lightwire Functional) and Crozat appliances focus on improving function, balance, and long-term stability rather than simply straightening teeth.
We collaborate with professionals through the Applied Integration Academy, working alongside osteopathic physicians, physical therapists, myofunctional therapists, and sleep physicians. Incorporating ALF (Advanced Lightwire Functional), which uses gentle forces to support natural growth and function, and PADA, a whole-body, integrative approach to care, this team-based model helps us address each patient’s unique needs and improve overall quality of life.
While we are not licensed orthodontists, we have intentionally chosen a more holistic and alternative approach to orthodontic care. By focusing on growth, development, and the relationship between the teeth, jaws, and body, we aim to help children reach their full genetic potential and assist adults in addressing issues related to occlusal dysfunction.
We also offer treatment with Nuvola® aligners, an advanced Italian system that integrates whole-body considerations into orthodontic alignment, supporting both aesthetics and function.

Most parents wonder when is the best time to have their child evaluated for braces. One common misconception regarding orthodontic treatment is to wait until all of your child's permanent teeth (except the wisdom teeth) are present. However, an orthodontist can identify most problems involving the alignment of the teeth and jaw growth by the time a child is in the first or second grade. For this reason, the American Association of Orthodontists recommends that all children have a check up with an orthodontic specialist no later than age 7.
It is important to keep in mind that aligning the teeth and the jaws does not happen overnight. Whether you are wearing conventional braces, clear aligners, or any other type of appliance, orthodontic movement is a gradual process. Orthodontic tooth movement is based on the use of light and continuous forces to correct your bite in an incremental, predictable, and healthy manner.
The total duration of orthodontic care, not including wearing retainers to maintain the result, depends on several factors. Such things as growth, as well as compliance with care, may influence treatment time. On average comprehensive orthodontic care to correct a malocclusion can take anywhere between 18-36 months. Orthodontic treatment for more limited problems with tooth alignment typically ranges from 6 to 18 months.
Because orthodontic movement takes time, most appointments after the initial placement of appliances are scheduled approximately four to eight weeks apart. This interval gives your teeth time to move at both a steady and healthy pace. However, there may be situations where more frequent visits to evaluate the status of your case, tooth movement, or to have an additional adjustment are required.
Teeth can be moved at any age. Orthodontic treatment as an adult can completely transform an imperfect and poorly aligned smile into one that is attractive and functions at its best. However, initiating orthodontic care and achieving a successful outcome relies on the presence of healthy teeth and supporting bone. For these reasons, it is essential for adult patients to address any outstanding dental problems before their appliances are placed and to remain diligent about maintaining their oral health throughout care.

At Park Dental Wellness, reaching us is simple. Whether you have questions about treatments or are ready to schedule your next visit, our friendly team is here to guide you every step of the way. Call, email, or use our convenient online form—we’ll make sure your experience is easy, comfortable, and tailored to your needs.
Start your journey to a healthier, more confident smile today!